肿瘤CT图片
的有关信息介绍如下:概述CT可以更好地显示由软组织构成的器官,临床上常见的有脑膜瘤、肝癌、肺癌等肿瘤的CT,表现为肿块呈等或略高密度。CT表现脑膜瘤CT平扫肿块呈等或略高密度,常见斑点状钙化,多以广基底与硬膜相连,类圆形,边界清楚,瘤周水肿轻或无,静脉或静脉窦受压时可出现中度或重度水肿。颅板侵犯引起骨质增生或破坏。增强扫描呈均匀性显著强化。

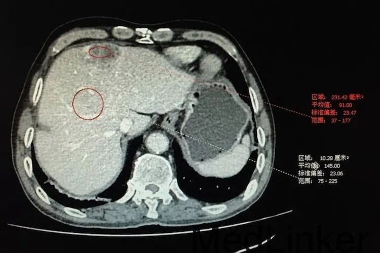
肝癌肝癌表现为肝内局限的或多发的结节状或较大的肿块,CT平扫为低或等密度,巨块型者常有中心更低密度区,少数边界清楚并有假性包膜形成,增强后的动脉期可见肿瘤的实质部分强化,中心为不强化的低密度坏死区,其强化效应在静脉期和平衡期消失,静脉期还可以见到门静脉的癌栓征象。

肺癌以周围型肺癌为例,在CT下形态多为圆形和类圆形的小结节或肿块,但有的也可呈斑片状或星状。边缘多不规则,有分叶切迹,多为深分叶。可见锯齿征,小棘状突起与细毛刺。大多数肿瘤密度较均匀,部分密度不均匀,可见空泡征,空气支气管征,以及蜂窝状改变。

意义肿瘤CT在肿瘤的定位及定性分析、肿瘤的临床分期、肿瘤与周围组织的关系、淋巴道和血道的播散等方面判断较平片更加准确及客观;对于肿瘤的手术切除治疗前,判断手术的可切除性方面有重要意义,以及用于肿瘤放疗的照射野设计、确定靶区等方面都有重要价值。CT对组织密度分辨率高,即使有些肿瘤密度与正常组织差异较小,也可通过注射造影剂使肿瘤组织强化,提高肿瘤的确诊率。



